Artificial intelligence (AI) is more than twice as good as radiologists alone at screening patients for lung cancer, according to new research.
In a real-world setting, machine learning-based software significantly boosted the identification of lung nodules on chest X-rays.
The technique is more sensitive and less likely to miss cases that need immediate treatment. It could improve survival rates for one of the deadliest forms of the disease.
The abnormal growths commonly form after infections. In some cases, they can be a sign of cancer.
It comes after a new trial in the UK found that AI technology could also detect bowel cancer cases that humans miss. Lung and bowel cancers are among the most common cancers in the United States.
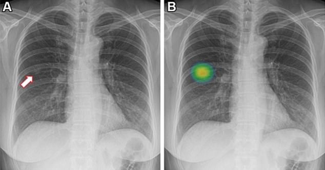
Co-author Dr Jin Mo Goo, of Seoul National University Hospital, said: ‘Detecting lung nodules, a primary finding of lung cancer, is one of the crucial tasks in chest X-rays.
‘Many studies have suggested AI-based computer-aided detection software can improve radiologists’ performance, but it is not widely used.’
Lung cancer is too often diagnosed after it has spread owing to there being few initial symptoms.
An estimated 238,340 people will be diagnosed with lung cancer in 2023 in the US, although this is trending downwards — likely driven by fewer people smoking.
Approximately 127,070 American lives are lost to the disease annually.
For the study, researchers included 10,476 patients, who underwent chest X-rays at a screening center between June 2020 and December 2021.
Dr Goo said: ‘As our trial was conducted with a pragmatic approach, almost all enrolled participants were included, which is a real clinical setting.’
It took into account age, sex and past history of lung cancer. One in nine (11 percent) were current or former smokers.
The participants were randomly and evenly divided into two groups – AI or not-AI. The first group’s X-rays were analyzed by one of three radiologists using AI, while the second group’s were interpreted without the technology.
In 0.59 percent of cases, lung nodules requiring action were detected using AI — compared to 0.25 percent of the others whose images were reviewed only by radiologists.
Overall, lung nodules were identified in two percent of the patients.
Dr Goo said: ‘Our study provided strong evidence that AI could really help in interpreting chest radiography.
‘This will contribute to identifying chest diseases, especially lung cancer, more effectively at an earlier stage.’
The results, published in Radiology, also suggested AI works consistently across different populations – even for those with diseased or postoperative lungs.
AI has previously been shown to help predict several cancers including breast cancer, as well as bowel diseases, Alzheimer’s, heart attacks and dementia.
by: GEORGE VERNADAKIS FOR DAILYMAIL.COM
published on DailyMail

